Москва, 2-ой Хорошевский проезд, д.7, стр. 1А
phone +7 (499) 403-33-84
Следите за нами

Стент-графт периферический BeGraft с баллонным катетером (системой доставки)

Периферический стент-графт с системой доставки отличается высокой радиальной устойчивостью, сохраняя при этом исключительную гибкость и низкий профиль.

Стент-графт BeGraft возможно использовать в магистральных периферических артериях, в том числе при выполнении комплексных вмешательств при аневризмах и диссекциях аорты, когда выполнение эндоваскулярной операции требует вовлечения ветвей аорты в эндопротезирование.

icon Получить документацию
Брошюра Формат: pdf
cover
BeGraft peripheral
Узнать все преимущества за 4 минуты
Качественные материалы
Каркас стента из кобальт-хромового сплава покрыт микропористой мембраной из политетрафторэтилена (ePTFE)
1
Безопасный
Менее травматичен ускоряет процедуру за счет низкого профиля (для диаметра 8 мм интродьюсер 6 F)
1
Управляемость
Быстрый доступ к месту поражения благодаря исключительной гибкости
1
icon
Высокая эффективность
Кровоток русла восстанавливается полностью, имплантированный стент исключает повторное сужение артерии
icon
Безболезненность
Процедура осуществляется через прокол, является безболезненной за счет местной анестезии
icon
Быстрое восстановление
На операцию требуется около 1 часа, после чего пациент сутки находится под стационарным наблюдением
Стентирование периферических артерий
Атеросклероз
Атеросклероз обычно описывается как затвердение артерий, которое приводит к потере эластичности артериальной стенки из-за потери эластичных волокон в стенке сосуда и отложений липидов, жировых пробок и кальцификатов
img img
img img
Атеросклероз приводит либо к сужению артерии за счет образования «бляшек» и кальцификатов в стенке артерии, либо к ослаблению стенки сосуда, что приводит к расширению артерии, вызванному постоянным кровяным давлением
icon Получить документацию
Брошюра Формат: pdf
1 1 1
1
Варианты лечения
Артериальный стеноз
Реваскуляризация пораженной части сосуда открытой операцией или эндоваскулярными процедурами: баллонная ангиопластика, механическое удаление или установка стента
Артериальная аневризма
Исключение аневризматической части путем введения хирургического трансплантата с открытой операцией или мешательством лечение путем имплантации трубчатого стент-графта
Артериальная перфорация
Имплантация стент-графта на уровне прокола для закрытия кровотечения. Возможен вариант открытой операции
Артериальный свищ
Имплантация стент-графта в артерию для исключения соединения обеих полостей органы. Возможен вариант открытой операции
Клинический опыт
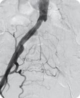
Выраженный стеноз в левой общей подвздошной артерии
img img
История болезни
Пациентка 58 лет поступила с перемежающейся хромотой III степени по Резерфорду в левой ноге. В анамнезе острая окклюзия правой поверхностной бедренной артерии, по поводу которой был выполнен тромболизис и чрескожное периферическое вмешательство, а также стентирование правой общей подвздошной артерии.
Подробнее
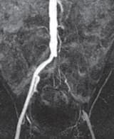
Реканализация подвздошных артерий у молодых пациентов
img img
История болезни
Мужчина, 55-лет с перемежающейся хромотой при ходьбе на дистанцию до 25 метров. Курильщик, без сахарного диабета и артериальной гипертензии. МР-ангиограмма показала окклюзию левой общей и внутренней подвздошных артерий.
Подробнее
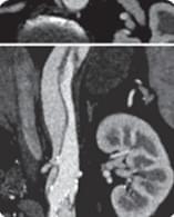
Лечение почечной мальперфузии вследствие острого расслоения типа В
img img
История болезни
Мужчина 61 года с гипертонией поступил в наше отделение неотложной помощи с болью в груди и правой части спины. Пациент находился под наблюдением по поводу существующей аневризмы брюшной аорты. Усиленная компьютерная томография выявила острое расслоение типа В с мальперфузией правой почки из-за входного разрыва перед устьем почечной артерии.

Входной разрыв находился на 5 см дистальнее левой подключичной артерии с тромбированной проксимальной частью расслоения.
Подробнее
01 03
1
icon
Восстановление
В результате проведенного стентирования периферическая артерия полностью восстанавливает кровоток, который в нормальном объеме питает конечность
icon
Сокращение рисков
Вовремя проведенная операция на периферических артериях во многих случаях спасает больного от потери конечности, а иногда — и самой жизни, возвращая ей полноценное качество, которое бесценно
icon
Перспектива на будущее
Операция имеет стойкий положительный эффект с хорошими отдаленными перспективами. Передовые технологии ангеопластической хирургии доказали свою доступность и высокую эффективность
Задайте вопрос специалисту
img
logo
Стент-графт для периферических артерий Bentley

Bentley InnoMed GmbH - международная медицинская технологическая компания со штаб-квартирой на юге Германии. Bentley увлечены разработкой, производством и маркетингом инновационных продуктов для минимально инвазивного лечения сосудистых заболеваний

Компания убеждена в том, что передовые медицинские технологии являются ключом к лучшему уходу за пациентами и их здоровью, поэтому они сосредотачиваются на разработке уникальных продуктов и стремятся найти творческие ответы на все вопросы

Стент-графт второго поколения

Второе поколение обновило не только модификацию, но и дизайн.

Улучшения в конструкции стент-графтов не затронули преимущества, такие как, низкий профиль, гибкость, управляемость и контроль, для безопасного и эффективного использования

stent
Улучшения крепления
Покрытие ePTFE теперь крепится изнутри на обоих концах стента для исключения риска отслоения мембраны (например, при использовании интродьюсера малого размера)
Усиление жесткости на 20%
Ширина разъёма между ячейками металлического каркаса стента, увеличена на 20% для усиления продольной жёсткости стента, в отличии от стента первого поколения
Улучшения крепления
Толщина покрытия ePTFE увеличена в два раза (было 100 миллимикрон, стало 200 миллимикрон). Это сделано для большей прочности и устойчивости
Характеристики

Материал стента

CoCr (L605)

Номинальное давление

9 бар Ø 5.0 - 7.0 мм

8 бар Ø 8.0 - 10.0 мм

Ячейки

(ширина х толщина)

0.135 x 0.145 мм (SV)

0.145 x 0.145 мм (MV)

0.165 x 0.145 мм (LV)

Давление разрыва баллона

13 бар Ø 5.0 - 7.0 мм

12 бар Ø 8.0 - 10.0 мм

Совместим с интродьюсером

6F

Длина системы доставки

75 и 120 см

Проводник

0.035”

Диаметр раскрытого стента

5.0, 6.0 мм (SV)

7.0, 8.0 мм (MV)

9.0, 10.0 мм (LV)

Размер шафта

5F

Материал маркеров

на баллоне

Платинум / Иридиум

Номинальная длина стента

18, 23, 28, 38, 58 мм (SV)

18, 23, 27, 38, 57 мм (MV)

18, 23, 28, 38, 57 мм (LV)

Система доставки

OTW

Срок хранения

3 года

Посмотрите, как можно использовать продукцию Bentley
Применение стент-графтов Bentley в хирургии ветвей брюшной аорты - А.В. Жолковский
Применение стент-графтов Bentley в хирургии ветвей брюшной аорты - А.В. Жолковский
Установка BeGraft
Установка BeGraft
Установка BeGraft ч.2
Установка BeGraft ч.2
Установка BeGraft
Установка BeGraft
Подробно о Bentley
Подробно о Bentley
Выбор Bentley
Выбор Bentley
Установка BeGraft
Установка BeGraft
Установка BeGraft
Установка BeGraft
Презентация Александра Жолковского
Презентация Александра Жолковского
Презентация Александра Жолковского ч.2
Презентация Александра Жолковского ч.2
Раут Медицина надежный партнер
img
icon
Инновации
Мы ориентируемся на разработку уникальных продуктов и стремимся найти креативные ответы на вопросы, которые ставит индустрия здравоохранения
icon
Ответственность
Мы заботимся об улучшении здоровья населения, повышении качества окружающей среды. Каждый член нашей команды заинтересован в том, чтобы внести существенный вклад в качество жизни
icon
Качество
Ориентация на клиента и соответствие международным стандартам помогают нам поддерживать непревзойденное качество продуктов и услуг
icon
Эффективность
Мы стремимся к эффективным с точки зрения времени и расходов решениям, чтобы удовлетворить разносторонние интересы наших клиентов и пациентов по всему миру
Получить консультацию
img
Используя сайт, вы предоставляете согласие на обработку файлов cookie и ваших персональных данных сервисами веб-аналитики. Если вы не хотите, чтобы ваши данные обрабатывались, покиньте сайт.
Согласен