Москва, 2-ой Хорошевский проезд, д.7, стр. 1А
phone +7 (499) 403-33-84
Следите за нами

BeGraft Coronary. Стент-графт коронарный BeGraft с системой доставки

Этот необычный продукт сочетает в себе очень гибкий однослойный стент-графт с низкопрофильным баллонным катетером, что обеспечивает непревзойденную совместимость с проводниковым катетером.

Платформа кобальт-хромового стента покрыта микропористой мембраной из политетрафторэтилена (еРТ)
icon Получить документацию
img
Материалы
Каркас стента из кобальт-хромового сплава покрыт микропористой мембраной из политетрафторэтилена (ePTFE)
Безопасный
Этот необычный продукт сочетает в себе очень гибкий однослойный стент-графт с низкопрофильным баллонным катетером
Управляемый
Быстрый доступ к месту поражения благодаря исключительной гибкости
Применение
Коронарные стент-графты BeGraft coronary являются эффективным инструментом, применяющимся в ходе оперативного вмешательства для экстренного лечения следующих патологий:
img img 01
Перфорация (разрыв) коронарных артерий
img img 02
Исключения из кровотока аневризм и фистул коронарных артерий
img img 03
Осуществление вмешательств на трансплантате из подкожной вены (коронарный шунт) и других
Преимущества стент-графта
img
Безопасность
Качественные материалы с установленным профилем безопасности и с продолжительным сроком годности (3 года)
img
Гибкость
Удобный и практичный дизайн изделия с надежностью и простотой в применении
img
Экономия
Широкий размерный ряд, предоставляющий удобство выбора для конкретного клинического случая
Спецификация
Материал мембраны
микропористая трубка (89-25 миллимикрон)
Материал стента (композиция) Стент-графт
кобальт-хромовый сплав (L605)
Стент-графт
одинарный стент
Ячейки (ширина х толщина)
0.07 х 0.08 mm (SV)
0.08 x 0.09 mm (MV)
0.07 x 0.08 mm (LV)
Площадь покрытия поверхности
100% (для всех размеров)
Совместимость с проводниковым катетером
5F (для всех размеров)
Проводник
0.014"
Размер шафта
2.7 F дист./ 1.9 F прокс. (Ø 2.5 - 4.0 mm)
3.2 F дист./ 1.9 F прокс. (Ø 4.5 - 5.0 mm)
Маркеры на баллоне материал
Платинум / Иридиум
Номинальное давление
11 бар (Ø 2.5 - 4.0 мм)
10 бар (Ø 4.5 - 5.0 мм)
Номинальное давление разрыва
16 бар (Ø 2.5 - 4.0 мм)
14 бар (Ø 4.5 - 5.0 мм)
Ячейки (ширина х толщина)
0.07 х 0.08 mm (SV)
0.08 x 0.09 mm (MV)
0.07 x 0.08 mm (LV)
Профиль гофрированного стента
Ø 1.1 мм (Ø 2.5)
Ø 1.2 мм (Ø 3.0)
Ø 1.3 мм (Ø 4.0)
Ø 1.4. мм (Ø 5.0)
Диаметр Стент-графта при раскрытии
2.50 мм (SV)
2.75, 3.00, 3.50,
4.00 мм (MV)
4.50, 5.00 мм (LV)
Длина катетера
143 см (диаметр 2.5 - 4.0 мм)
153 см (диаметр 4.5 - 5.0 мм)
Номинальная длина Стент-графта
8, 12, 16, 18, 21, 24 мм (SV)
8, 12, 16, 18, 21, 24 мм (MV)
16, 18, 21, 24 мм (LV)
Срок годности
3 года
Размеры
Диаметр
Длина
Совместимость
Артикул
2.50 мм
8 мм
12 мм
16 мм
18 мм
21 мм
24 мм
5F
BG08250
BG12250
BG16250
BG18250
BG21250
BG24250
2.75 мм
8 мм
12 мм
16 мм
18 мм
21 мм
24 мм
5F
BG08275
BG12275
BG16275
BG18275
BG21275
BG24275
3.00 мм
8 мм
12 мм
16 мм
18 мм
21 мм
24 мм
5F
BG08300
BG12300
BG16300
BG18300
BG21300
BG24300
3.50 мм
8 мм
12 мм
16 мм
18 мм
21 мм
24 мм
5F
BG08350
BG12350
BG16350
BG18350
BG21350
BG24350
4.00 мм
8 мм
12 мм
16 мм
18 мм
21 мм
24 мм
5F
BG08400
BG12400
BG16400
BG18400
BG21400
BG24400
4.50 мм
16 мм
18 мм
21 мм
24 мм
5F
BG16450
BG18450
BG21450
BG24450
5.00 мм
16 мм
18 мм
21 мм
24 мм
5F
BG16500
BG18500
BG21500
BG24500
Показать всё
Клинический опыт
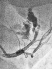
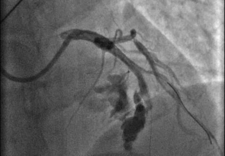
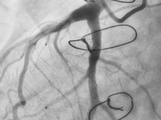
Быстрорастущая аневризма коронарных артерий
img img
История болезни
Мужчина 70 лет с гипертонией и заболеваниями коронарных артерий в анамнезе обратился в нашу клинику. В мае 2013 года ему был установлен обычный коронарный стент в среднем сегменте передней нисходящей артерии, после чего возник рестеноз коронарного стента, и в июне 2016 года, ему был установлен стент с лекарственным покрытием (DES).

В сентябре 2017 года пациент вернулся в нашу клинику с острым коронарным синдромом без подъема сегмента ST. Мы выполнили коронарографию, на которой было обнаружено расширение аневризмы в проксимальном отделе передней нисходящей артерии перед стентом. Из-за личных обстоятельств пациента лечение было отложено.
Подробнее
Аневризма и стеноз коронарных артерий
img img
История болезни
Мужчина 59 лет с артериальной гипертонией и хронической почечной недостаточности в анамнезе поступил в отделение скорой помощи из-за боли в груди, которая продолжалась 30 минут.

При поступлении в приемное отделение была проведена ЭКГ, на которой была обнаружена инверсия зубцов T в отведениях V4 до V6. Пациент был госпитализирован, начата медикаментозная терапия, включающая 300 мг ацетилсалициловой кислоты, низкомолекулярный гепарин, внутривенно сосудорасширяющие, статины и бета-блокаторы. Первый подход в лечении прошел бессимптомно и без гемодинамических изменений.
Подробнее
01 02
Раут Медицина надежный партнер
img
icon
Инновации
Мы ориентируемся на разработку уникальных продуктов и стремимся найти креативные ответы на вопросы, которые ставит индустрия здравоохранения
icon
Ответственность
Мы заботимся об улучшении здоровья населения, повышении качества окружающей среды. Каждый член нашей команды заинтересован в том, чтобы внести существенный вклад в качество жизни
icon
Качество
Ориентация на клиента и соответствие международным стандартам помогают нам поддерживать непревзойденное качество продуктов и услуг
icon
Эффективность
Мы стремимся к эффективным с точки зрения времени и расходов решениям, чтобы удовлетворить разносторонние интересы наших клиентов и пациентов по всему миру
Получить консультацию
img
Используя сайт, вы предоставляете согласие на обработку файлов cookie и ваших персональных данных сервисами веб-аналитики. Если вы не хотите, чтобы ваши данные обрабатывались, покиньте сайт.
Согласен